Восстановление зуба световым материалом в Санкт-Петербурге
Восстановление зуба световым материалом иначе называется реставрацией зуба или постановкой пломбы. В клинике Super Smile для этого используются передовые материалы и различные техники восстановления зуба.
- Лучшие материалы для ваших счастливых улыбок!
- Сохраним красоту и здоровье ваших зубов!
Вы получите детализированный расчёт стоимости без ненужных накруток со стороны стоматолога!
Узнайте, пора ли вам показаться стоматологу!
Ответьте на несколько вопросов, чтобы самостоятельно оценить своё здоровье и получите сертификат от нашей клиники (для новых пациентов)!

Особенности восстановления зуба светоотверждаемым материалом
Как проходит восстановление зуба светоотверждаемым материалом? Материал послойно накладывается на поверхность зуба, и каждый слой полимеризуется светодиодной лампой. Реставрация передних зубов может проходить с использованием жидких световых материалов, так как они обладают большей прозрачностью и имеют в своем составе наиболее мелкие частички наполнителя. Такие материалы также вносятся послойно и полимеризуются. Они легче полируются и имеют в итоге более гладкую и блестящую поверхность.
В чем плюсы восстановления зуба светоотверждаемым материалом?
- Эстетика. Цвет материала подбирается под цвет ваших зубов, так что пломбу совсем не видно.
- Быстрота. Дефект твердых тканей закрывается в одно посещение.
- Герметичность. Материал не пропускает инфекцию внутрь себя и внутрь зуба, а также герметично прилегает к стенкам зуба.
- Гипоаллергенность. Световые материалы не вызывают аллергии.
Восстановить зуб можно самыми разными способами. Самый распространенный — восстановление зуба светоотверждаемым материалом. Что же это за материал? Световой композит — это многокомпонентный по составу материал, с помощью которого можно восстанавливать зуб. Такой материал обладает замечательными цветовыми характеристиками, а также достаточно прочный, чтобы держать жевательную нагрузку.
О стоматологической клинике Super Smile

Доктора стоматологической клиники Super Smile настоящие профессионалы своего дела, у них огромный багаж знаний, который они постоянно пополняют, и колоссальный опыт работы! Клиника Super Smile представляет собой учреждение, где собраны передовые технологии в области стоматологического оборудования, а также применяются новейшие техники в работе с пациентами. Уникальные методики, профессионализм и командная работа позволяют нам браться за самые сложные клинические случаи!
С 2016 года мы признаны одной из 100 лучших стоматологических клиник России согласно рейтингам «Коммерсант-Здоровье» и «Start Smile». У клиники рейтинг 5.0 на Яндекс.Картах. Такой высокий рейтинг лишь у еще двух сетевых клиник Санкт-Петербурга. В 2021 и 2022 годах мы вошли в ТОП-10 клиник по версии порталов НаПоправку и ПроДокторов и 32top. Клиника Super Smile — это островок гармонии и надежности в каждом визите к стоматологу!В клинике Super Smile наши опытные специалисты восстановят вашу улыбку, а вы получите удовольствие от высокого уровня сервиса и качества наших услуг! Ждем вас, скорее записывайтесь на первую бесплатную консультацию!
Преимущества клиники Super Smile для восстановления зуба световым материалом
-
Мы используем в работе лучшие современные пломбировочные материалы светового отверждения (Estelite Sigma — Япония; Harmonize — США).
-
Новейшие методы в реставрации всех групп зубов.
-
Применение техники минимальной инвазии для сохранения максимального объема ваших зубов.
-
Беспроцентная рассрочка на все виды стоматологических услуг.
-
Собственный компьютерный томограф для вашего комфорта и точной диагностики.
Гарантия лучшего сочетания цена/качество
Оставьте Ваш телефон и в течение 5 минут мы перезвоним Вам, чтобы подобрать лучшее для Вас время посещения центра имплантации Super Smile.
Преимущества восстановления зуба светоотверждаемым материалом
-
Устойчивость к внешнему воздействию. Такие пломбы не впитывают красители, не откалываются от нагрузки.
-
Качество. В нашей клинике высококачественные пломбировочные материалы, которые качественно восстанавливают ваши зубы.
-
Незаметность. Цвет пломбировочного материала подбирается под цвет ваших зубов, поэтому пломба незаметна.
-
Экономия времени. Пломбу из светового материала возможно поставить всего за одно посещение.
-
Идеальное прилегание к стенкам зуба, что дает максимальную герметичность поставленной пломбы, а значит, профилактика осложнений.
Этапы восстановления зуба светоотверждаемым материалом
-
Первичный осмотр и консультация.
Для того, чтобы провести манипуляции в полости рта, доктор проводит беседу с вами, собирает анамнез заболевания и жалобы, проводит осмотр полости рта, оценивает состояние зубов и десен.
-
Дополнительная диагностика.
Перед началом лечения вам может понадобиться дополнительное рентгенологическое обследование или КТ-диагностика.
-
Проведение профессиональной гигиены полости рта.
Желательно перед началом лечения провести 4х-этапную профессиональную гигиену полости рта.
-
Проведение анестезии по показаниям и изоляция рабочего поля.
По показаниям проводится анестезия, а зуб, который подлежит восстановлению, изолируется с помощью коффердама или раббердама.
-
Подготовка полости зуба.
Доктор убирает все инфицированные ткани, то есть препарирует кариозную полость или дефект зуба. Далее проводится антисептическая обработка раствором хлоргексидина или раствором другого антисептика. Следующим этапом подготовки полости являются обработка протравочным гелем, который состоит из 37% ортофосфорной кислоты. Это убирает верхний слой с эмали и дентина, что способствует более плотному прилеганию пломбы в дальнейшем.
-
Обработка подготовленной полости адгезивом.
Этот этап также помогает лучшему сцеплению пломбировочного материала с тканями зуба. Адгезив распределяется по полости с помощью аппликатора и «засвечивается» лампой.
-
Восстановление зуба светоотверждаемым материалом.
Пломбировочный материал послойно вносится в подготовленную полость, и каждый слой отдельно засвечивается светодиодной лампой. Доктор воссоздает форму и рельеф зуба, а затем шлифует и полирует пломбу. Даются рекомендации.
Гарантия лучшего сочетания цена/качество
Оставьте Ваш телефон и в течение 5 минут мы перезвоним Вам, чтобы подобрать лучшее для Вас время посещения стоматологии Super Smile.
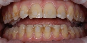
Работы наших специалистов по восстановлению зуба световым материалом
А теперь — самое главное:
заботливый системный подход Super Smile

В Super Smile всё начинается с заботы.
Мы не просто лечим зубы — мы сохраняем ваше здоровье и уверенность на долгие годы. Перед лечением мы внимательно обследуем, объясняем каждый шаг и вместе составляем индивидуальный план лечения, где всё продумано — от диагностики до результата. Так вы точно знаете, что происходит, и чувствуете заботу на каждом этапе
Что включает комплексный план лечения?
- Осмотр и консультация специалиста
- Подробный фотопротокол
- Заполнение “зубной формулы” – вашей карты улыбки
- Медицинский план лечения
- Выгодный финансовый план лечения
Почему заботливый и системный подход работает лучше
В Super Smile мы верим, что стоматология должна быть не спешной, а осознанной и внимательной.
Такой подход сохраняет здоровье, экономит средства и помогает сохранить результат на годы вперёд.
| Обычное лечение | Заботливый системный подход Super Smile |
|---|---|
| Посадить пациента в кресло и сразу начать лечение | Сначала выслушать, обследовать, всё объяснить и только потом вместе выбрать лучший путь |
| Начать с самых дорогих процедур, не думая о логике | Продумать план шаг за шагом, чтобы не пришлось что-то переделывать через полгода |
| Предложить один «удобный» вариант и настаивать на нём | Разработать несколько вариантов лечения — по срокам, бюджету и комфорту |
| Передать пациента любому свободному врачу | Собрать команду специалистов, где каждый отвечает за свой этап, а результат — общий |
| Говорить, что бюджет невозможно рассчитать заранее | Составить прозрачный финансовый план и помочь спокойно спланировать расходы |
| Не давать гарантий на работу | Предоставить реальные гарантии на лечение — чтобы вы были уверены в результате и спокойны за свою улыбку |
С заботой — с первого шага
Стоимость индивидуального Плана лечения — всего 0 рублей.
В него входит полное обследование, консультация специалиста и составление медицинского и финансового планов. Отдельно оплачивается 3D снимок для точной диагностики.
-
Всегда ли возможно восстановление зуба светоотверждаемым материалом?
Как и любая манипуляция в стоматологии, восстановление зуба светоотверждаемым материалом имеет определенные противопоказания. Например, такой материал нежелательно использовать для восстановления молочных зубов, а также при наличии аллергии на какие-либо компоненты пломбы. Разрушение зуба более 50% можно восстановить пломбой, но все же лучше выбрать ортопедическое лечение в таком случае.
-
Как долго может служить пломба после восстановления зуба светоотверждаемым материалом?
Срок службы пломбы зависит от многих факторов: целостности зубного ряда, нет ли точек повышенного жевательного давления, от качества гигиены полости рта и наличия вредных привычек. Но средний срок службы пломбы из светоотверждаемого материала составляет 5-7 лет.
-
Сколько по времени занимает восстановление зуба световым материалом?
Восстановление зуба световым материалом доктор может провести за одно посещение. Но бывают случаи, когда перед этим нужно провести эндодонтическое лечение. Тогда доктор выделяет на завершение лечения еще один визит.
Получите каталог услуг Super Smile: цены, этапы лечения и все преимущества в удобном формате





























