Восстановление зуба вкладкой в Санкт-Петербурге
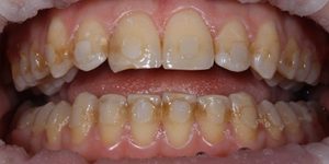
Восстановление зуба вкладкой — это современная альтернатива постановки объемных пломб. Для вкладок используются те же материалы, что и для изготовления коронок и виниров. Доктора клиники Super Smile применяют различные методики по восстановлению зубов вкладками.
- Высокий уровень сервиса для вашего комфорта!
- Современное решение для восстановления зубов в Super Smile!
Вы получите детализированный расчёт стоимости без ненужных накруток со стороны стоматолога!
Узнайте, пора ли вам показаться стоматологу!
Ответьте на несколько вопросов, чтобы самостоятельно оценить своё здоровье и получите сертификат от нашей клиники (для новых пациентов)!

Особенности реставрации зубов вкладкой
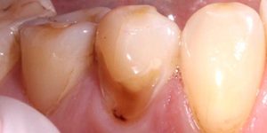
Вкладки бывают восстановительные и культевые. Восстановительные вкладки заменяют постановку обычной пломбы и различаются по степени покрытия зуба: inlay (располагается по центру зуба и не затрагивает бугорки), onlay (захватывает внутренние скаты бугров) и overlay (перекрывает 1 или 3 бугорка). Культевые вкладки крепятся в корневом канале и восстанавливают ту форму зуба, которая была бы, если зуб обточили под коронку. Культевые вкладки бывают разборные и неразборные. Последние применяются лишь в однокорневых зубах. А разборные чаще используют в многокорневых зубах или зубах с изогнутыми корневыми каналами.
В чем плюсы реставрации зуба вкладкой?
- Защита зуба от разрушения. Вкладка будет равномерно распределять жевательное давление и служить профилактикой трещин и сколов.
- Точность и плотное прилегание. Благодаря современному оборудованию оттиски (слепки) изготавливаются очень точными, а значит конструкция будет плотно прилегать к зубу.
- Надежность и прочность. Керамика и диоксид циркония являются наиболее прочными материалами стоматологии.
- Износостойкость. Ортопедические конструкции выдерживают повышенную нагрузку на зуб.
Вкладка — это микропротез, который изготавливается по тем же технологиям, что и коронки. Материалами для вкладок служат: прессованная керамика, диоксид циркония, сплавы металлов, пластмасса и светоотверждаемые композиты. Пластмасса и композиты испрльзуются, чаще всего, как временные конструкции при изготовлении керамических реставраций. Сплавы металлов не очень эстетичны, поэтому редко применяются в качестве восстановительных вкладок.
Какие коронки на зубы лучше? Металлокерамика или Цирконий? Ответ эксперта!
О стоматологической клинике Super Smile

Клиника Super Smile специализируется на восстановлении эстетики вашей улыбки. Здесь вы можете найти специалистов любого профиля, для того, чтобы решить любую волнующую вас стоматологическую проблему. Наши доктора и персональные кураторы подарят вам комфортное пребывание в клинике, высокое качества лечения и сервиса. Клиника является лауреатом престижных конкурсов «Лучшие медицинские учреждения РФ» и «Лучшие стоматологии РФ».
Мы входим в 100 лучших стоматологических клиник России согласно рейтингам «Коммерсант-Здоровье» и «Start Smile». А отзывы наших пациентов и рейтинг 5.0 на Яндекс.Картах лишь подтверждают то, что мы являемся лучшими. Последние два года мы регулярно входим в ТОП-10 клиник по версии порталов НаПоправку, ПроДокторов и 32top.
В клинике Super Smile наши опытные специалисты подберут для вас подходящий вариант реставрации зуба вкладкой. Ждем вас на первой бесплатной консультации!
Преимущества клиники Super Smile для реставрации жевательного зуба вкладкой
-
Доктора используют в работе множество методик по микропротезированию.
-
Современные и надежные материалы.
-
Интраооальный 3D сканер для точного лечения.
-
Беспроцентная рассрочка от 100 рублей в день на все виды стоматологических услуг.
-
Собственный компьютерный томограф для вашего комфорта и качественной диагностики.
Гарантия лучшего сочетания цена/качество
Оставьте Ваш телефон и в течение 5 минут мы перезвоним Вам, чтобы подобрать лучшее для Вас время посещения центра имплантации Super Smile.
Преимущества восстановления зуба вкладкой
-
Универсальность. Реставрацию зуба вкладкой можно проводить как на передних, так и на жевательных зубах.
-
Минимальная обточка. Под восстановительную вкладку важно убрать лишь инфицированные ткани.
-
Не дают усадки. В отличие от пломбировочного материала, вкладки не будут со временем «проседать» от повышенной нагрузки.
-
Эстетика. Материалы для вкладок часто имеют такие же свойства, как и ткани зуба, поэтому совершенно незаметны в полости рта.
-
Надежная фиксация. Вкладка плотно прилегает к тканям зуба и надежно фиксируется с помощью материала в подготовленной полости.
Этапы восстановления зуба вкладкой
-
Первичный осмотр и консультация.
Ваш любой визит к врачу — стоматологу в нашей клинике начинается с беседы, сбора анамнеза и ваших жалоб. Затем доктор проводит осмотр полости рта, оценивает состояние зубов и десен и при необходимости направляет вас на дополнительные диагностические мероприятия.
-
Дополнительная диагностика.
Перед началом лечения важно провести качественную рентгенологическую или КТ-диагностику.
-
Проведение профессиональной гигиены полости рта.
Желательно перед началом лечения провести 4х-этапную профессиональную гигиену полости рта.
-
Проведение анестезии по показаниям и изоляция рабочего поля.
По показаниям проводится анестезия, а зуб, который подлежит восстановлению, изолируется с помощью коффердама или раббердама.
-
Подготовка полости под вкладку.
Данный этап включает в себя удаление всех инфицированных тканей (препарирование тканей зуба бором) или эндодонтическая подготовка корневых каналов (лечение и пломбирование корневых каналов).
-
Снятие оттисков (слепков).
С помощью современных материалов либо с помощью 3D-сканера доктор снимает слепок зубного ряда и передает данные в зуботехническую лабораторию. На время изготовления вкладки зуб закрывается временной пломбой.
-
Изготовление вкладки.
В зуботехнической лаборатории техник изготавливает вкладку из прессованной керамики.
-
Примерка и фиксация.
Во время второго визита доктор проводит припасовку (примерку) вкладки. Если вы чувствуете себя комфортно, то вкладка фиксируется на жидкий светоотверждаемый композит или композит двойного отверждения. Проводится окончательная полировка поверхности вкладки, даются рекомендации.
Гарантия лучшего сочетания цена/качество
Оставьте Ваш телефон и в течение 5 минут мы перезвоним Вам, чтобы подобрать лучшее для Вас время посещения стоматологии Super Smile.
А теперь — самое главное:
заботливый системный подход Super Smile

В Super Smile всё начинается с заботы.
Мы не просто лечим зубы — мы сохраняем ваше здоровье и уверенность на долгие годы. Перед лечением мы внимательно обследуем, объясняем каждый шаг и вместе составляем индивидуальный план лечения, где всё продумано — от диагностики до результата. Так вы точно знаете, что происходит, и чувствуете заботу на каждом этапе
Что включает комплексный план лечения?
- Осмотр и консультация специалиста
- Подробный фотопротокол
- Заполнение “зубной формулы” – вашей карты улыбки
- Медицинский план лечения
- Выгодный финансовый план лечения
Почему заботливый и системный подход работает лучше
В Super Smile мы верим, что стоматология должна быть не спешной, а осознанной и внимательной.
Такой подход сохраняет здоровье, экономит средства и помогает сохранить результат на годы вперёд.
| Обычное лечение | Заботливый системный подход Super Smile |
|---|---|
| Посадить пациента в кресло и сразу начать лечение | Сначала выслушать, обследовать, всё объяснить и только потом вместе выбрать лучший путь |
| Начать с самых дорогих процедур, не думая о логике | Продумать план шаг за шагом, чтобы не пришлось что-то переделывать через полгода |
| Предложить один «удобный» вариант и настаивать на нём | Разработать несколько вариантов лечения — по срокам, бюджету и комфорту |
| Передать пациента любому свободному врачу | Собрать команду специалистов, где каждый отвечает за свой этап, а результат — общий |
| Говорить, что бюджет невозможно рассчитать заранее | Составить прозрачный финансовый план и помочь спокойно спланировать расходы |
| Не давать гарантий на работу | Предоставить реальные гарантии на лечение — чтобы вы были уверены в результате и спокойны за свою улыбку |
С заботой — с первого шага
Стоимость индивидуального Плана лечения — всего 0 рублей.
В него входит полное обследование, консультация специалиста и составление медицинского и финансового планов. Отдельно оплачивается 3D снимок для точной диагностики.
-
Когда мне может понадобиться восстановление жевательного зуба вкладкой?
Восстановление жевательного зуба вкладкой можно применить даже при лечении среднего кариеса, если он повлек за собой потерю тканей зуба более чем на 30%. Есть случаи, когда фиссуры на жевательных зубах очень глубокие, и там часто образуется кариес. Тогда можно применить лечение восстановительной вкладкой inlay. Также мы рекомендуем восстанавливать зуб керамической вкладкой после проведения эндодонтического лечения.
-
Как долго будет служить реставрация зуба вкладкой?
Срок службы реставрации зуба вкладкой зависит от первоначальной степени разрушения зуба и материала, из которого изготовлена вкладка. Керамические вкладки и вкладки из диоксида циркония служат более 10 лет. Конечно же, продлить срок службы можно, посещая регулярно стоматолога и проводя тщательную ежедневную гигиену полости рта.
-
Сколько стоит восстановление жевательного зуба вкладкой?
Стоимость восстановления жевательного зуба вкладкой рассчитывается индивидуально. Так как цена на реставрацию зуба вкладкой зависит от степени разрушения зуба, вида вкладки и материала, из которого она будет изготовлена. Конечно, реставрация зуба вкладкой будет дороже, чем постановка обычной пломбы, но и зуб вам будет служить гораздо дольше.
Получите каталог услуг Super Smile: цены, этапы лечения и все преимущества в удобном формате

Наши врачи-ортопеды
Цены Super Smile
-
Ортопедия
- Восстановление зуба вкладкой-накладкой
- 25 000 ₽
















